¿Cómo afectan las drogas al cerebro?


La mayoría de los estupefacientes son capaces de activar las zonas del cerebro del placer y la recompensa, y multiplicar hasta por diez las sensaciones agradables.

Cada vez que realizas conductas básicas para la supervivencia, como alimentarte o tener sexo, el centro de recompensa del cerebro libera dopamina, un neurotransmisor que proporciona placer y ganas de repetir la experiencia. Pues bien, la mayoría de los estupefacientes son capaces de activar la misma zona cerebral y multiplicar hasta por diez las sensaciones agradables, lo que afecta a la motivación, el autocontrol o la moralidad. Gracias a las modernas técnicas de neuroimagen, los científicos saben cada vez mejor qué partes del encéfalo son estimuladas por las drogas y por qué producen tan diferentes efectos.

Cocaína

Que los adictos a la cocaína dejen de ser dueños de sus pro­pios actos tiene una explicación neurocientífica. En la corteza prefrontal, existen centros relacionados con el autocontrol, la atención y la toma de decisiones que se deterioran y disminu­yen de tamaño cuando se consume esta  droga.Por otra parte, usando resonancia magnética, investigadores de la Universi­dad de Nuevo México demostraron que la corteza cingulada anterior, necesaria para tomar decisiones morales y para mos­trar empatía, ve reducida también su actividad. Y eso hace que cueste distinguir entre lo que está bien y lo que está mal.



Marihuana

Cada vez que estás a punto de vivir una experiencia gra­tificante, las neuronas del núcleo accumbens entran en ebullición y liberan un chorro de dopamina, la hor­mona del placer. Cuanta más dopamina, más agradable es la sensación. Sin embargo, esta se vuelve casi imper­ceptible cuando consumimos asiduamente marihuana. Tanto es así que, a largo plazo, fumar porros enfría el en­tusiasmo y ahoga la respuesta emocional positiva ante cualquier estímulo.Incapaces de sentir satisfacción, sus consumidores pueden llegar a perder el interés por casi todas las activi­dades, lo que se conoce como anhedonia. Solo les esti­mula la propia droga, ya que los centros de recompensa responden cada vez con más fuerza a ella. Asimismo, actúa sobre los receptores de la amígdala, el centro ce­rebral del sistema límbico que regula el miedo. Por lo ge­neral, atenúa las señales neuronales de esta zona, lo que calma la ansiedad. Pero, en otros casos, la sobreexcita y aparecen paranoias, con lo que cualquier experiencia normal puede convertirse en atemorizante.

LSD

Investigadores del Imperial College de Londres demostraron que, tras consumir dietilamida de ácido lisérgico (LSD), en las neuronas de la corteza sensorial se produce una falta de coordinación que hace que las células que deberían activarse a la vez se desincronicen, mientras que se solapan las señales de otras que debían encenderse en momentos diferen­tes. Este caos podría explicar por qué el LSD altera la conciencia. Además, las ondas alfa del cerebro se reducen, lo que da lugar a las alucinaciones asociadas a su consumo.

Ketamina

En los locales donde se pincha música electrónica y en las fiestas rave, una de las drogas de síntesis más populares es la ketamina. Según los estudios neuro­científicos, actúa directamente en la corteza infra­límbica del cerebro, que modula el estado de ánimo. Esto le otorga propiedades antidepresivas. Por otro lado, al reducir la transmisión del glutamato, impide que el cerebro tenga una representación correcta del propio cuerpo y de sus movimientos, lo que explica la sensación de estar flotando fuera del cuerpo.

Psilocibina

Esta droga, presente en los hongos psilocibios, debe sus efectos a que reduce el flujo de sangre en la zona central del cerebro, sobre todo, el tálamo y la circunvolución del cíngulo anterior y posterior, relacionados con la conciencia y la identidad personal. De ahí que la psilocibina nos haga experimentar sensaciones corporales extrañas y un estado alterado del espacio-tiempo.

=> Recibir por Whatsapp las noticias destacadas

Éxtasis

Aunque gozan de popularidad entre los jóvenes de entre 20 y 35 años, las pastillitas de colores o MDMA distan mucho de ser inocuas. Tal y como probó un reciente estudio alemán, su consumo produce graves problemas de memoria por su efecto en el hipocampo, la parte del cerebro encargada de formar y recuperar recuerdos. También interfiere en el transporte de sero­tonina, relacionada con el estado de ánimo y el sueño. Eso hace que los consumidores no sepan escoger la reacción emocional adecuada ante cada situación.

Heroína

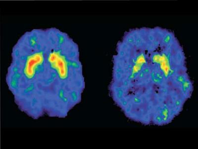
Ya sea inyectada o inhalada, se convierte en morfina al llegar al cerebro. Allí, se adhiere a los receptores opiáceos del tronco del encéfalo y de las zonas rela­cionadas con la percepción del dolor. El consumidor entra en un estado de sopor en el que desaparece to­do tipo de dolor físico y mental. También provoca una caída de los niveles de oxígeno cerebral, lo que causa daños irreparables. Esto explica la debilidad, temblo­res, espasmos y, en casos extremos, infarto cerebral y el párkinson propios de los heroinómanos.Imagen: cerebro sano (izquierda) vs. cerebro de una persona con adicción a la metanfetamina (derecha). Instituto Nacional de Abuso de Drogras (NIDA).

Fuente: muyinteresante.es