Investigadores de la Fundación Oswaldo Cruz de Brasil lograron tomar las imágenes con un microscopio electrónico de transmisión durante un estudio sobre la replicación del virus

Científicos brasileños han capturado imágenes del momento exacto en el que el coronavirus infecta una célula, informó la Fundación Oswaldo Cruz (Fiocruz) de Brasil, el mayor centro de investigación médico de América Latina.
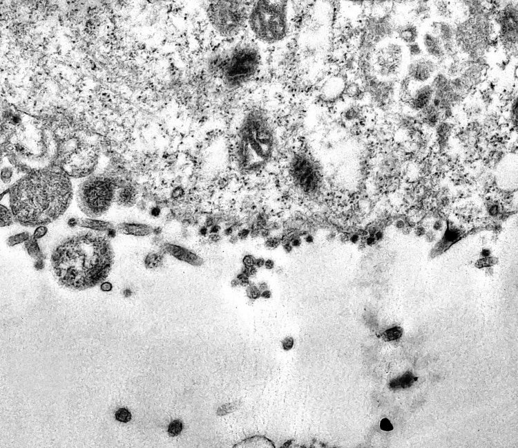
Las fotografías fueron tomadas con un microscopio electrónico de transmisión durante un estudio sobre la replicación del virus SARS-CoV-2 -nombre técnico del virus que causa el COVID-19- y muestran en detalle el proceso de cómo infecta una célula, anunció Fiocruz en un comunicado.
Para obtener las imágenes, los investigadores de Fiocruz, que está vinculado al Ministerio de Salud de Brasil, infectaron las células «Vero» – que se utilizan frecuentemente para pruebas in vitro y cultivos celulares – con el coronavirus, que causa la mortal neumonía Covid-19.
Una de las imágenes muestra una serie de puntos oscuros que son en realidad partículas virales del patógeno, que está tratando de infectar el citoplasma de la célula, dentro del cual se encuentra el núcleo de la célula que contiene su material genético.

En otra imagen, el coronavirus está comenzando el proceso de infección y finalmente, en las otras dos, se pueden ver las partículas virales dentro de la célula.



Esta serie de imágenes no tiene precedentes en Brasil y forma parte de una investigación que estudia cómo se reproduce el coronavirus. Los expertos son los mismo que trabajan en el Laboratorio de Morfología y Morfogénesis Viral y del Laboratorio de Virus Respiratorios y del Sarampión.
La fundación explicó que las células utilizadas en el estudio provenían del mono verde africano, no de humanos. Los cultivos de células del mono verde africano, una especie de primate que se encuentra en Sudán y Etiopía, se utilizan a menudo en pruebas de laboratorio, según Fiocruz.
El coronavirus de Wuhan es uno que nunca se había visto antes de este brote. Ha sido nombrado SARS-CoV-2 por el Comité Internacional de Taxonomía de Virus y s nombre significa Síndrome Respiratorio Agudo Severo coronavirus 2.
Cifras en Brasil

El coronavirus en Brasil ya ha causado 1.124 muertes y la cifra de contagios ha llegado a 20.727, informó este sábado el Ministerio de Salud, que volvió advertir de que el país todavía está lejos del llamado pico de la pandemia. Por primera en tres días, los fallecidos en las últimas 24 horas en el país (67) no pasaron del centenar, en tanto que el número de casos confirmados se incrementó en 1.089 desde la víspera, para superar otra vez el millar en una sola jornada.
Las autoridades del Ministerio de Salud volvieron a advertir sobre la «necesidad» de que los ciudadanos respeten todas las medidas de restricción de la circulación adoptadas por gobernadores o autoridades municipales.
La gran preocupación, según subrayó el ministerio en su boletín diario, es controlar el ritmo de contagios y “ganar tiempo” para equipar los hospitales, a fin de que estén listos para cuando se acerque el pico de la pandemia, previsto para fines de este mes o principios de mayo.
Bolsonaro, en el foco de la pandemia
Este sábado, el presidente brasileño, Jair Bolsonaro, quien ha insistido en criticar y desafiar las medidas de aislamiento forzadas por el avance del COVID-19, visitó un hospital de campaña que está siendo montado a 60 kilómetros de Brasilia, en el estado de Goiás.
Lo hizo junto con el ministro de Salud, Luiz Henrique Madetta, y esta vez, a diferencia de otras en que salió a pasear por las calles de Brasilia en claro desacato a la cuarentena, utilizó una máscara y, además, el gobernador del estado de Goiás, Ronaldo Caiado, le obligó a lavarse las manos con alcohol antes de saludarle. Sin embargo, aún cuando esta vez tuvo algún cuidado, se acercó a un grupo de seguidores que se apiñó a la salida del hospital y hasta abrazó a algunos.

Caiado mantiene una estrecha relación con Mandetta, así como él es médico, y recomienda las cuarentenas y todas las medidas para restringir el contacto entre personas frente a la pandemia, que el mandatario brasileño critica desde el principio de la crisis.
Mandetta no quiso comentar esa actitud, pero volvió a insistir en que “quien participe en aglomeraciones, en algún momento lo va a lamentar”.
MÁS SOBRE ESTE TEMA:
TEMAS RELACIONADOS
Fuente: infobae.com